Dentures, also known as false teeth, are prosthetic devices constructed to replace missing teeth and are supported by the surrounding soft and hard tissues of the oral cavity. They are typically made from acrylic resin, sometimes in combination with various metals. Dentures can be categorized into two main types: complete dentures and partial dentures.
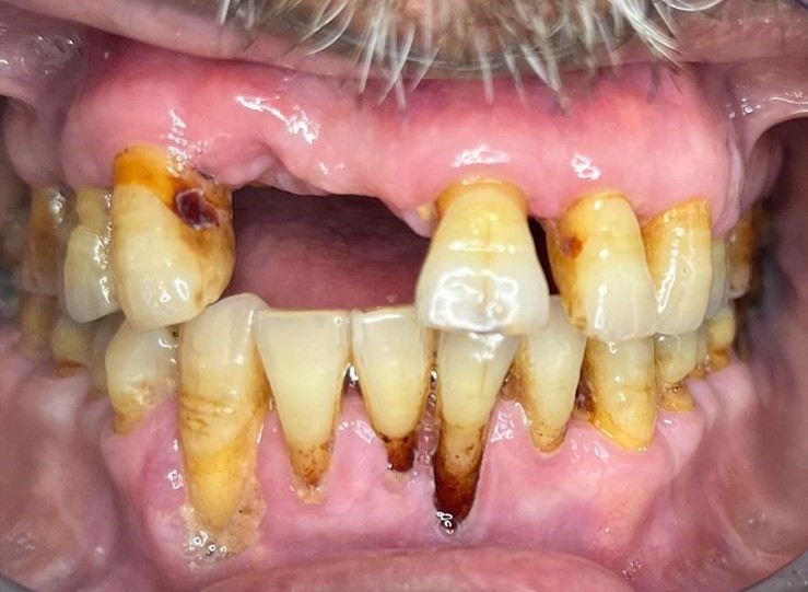
Before
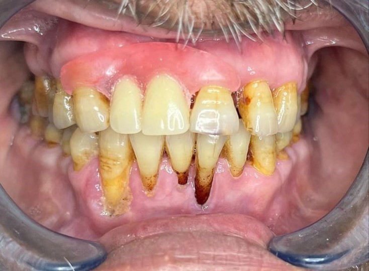
After
Complete dentures are used when all the teeth in either the upper (maxillary) or lower (mandibular) jaw are missing. There are two main types of complete dentures:
Partial dentures are used when one or more natural teeth remain in the upper or lower jaw. They consist of replacement teeth attached to a pink or gum-colored plastic base, which is connected by metal framework that holds the denture in place in the mouth. There are two main types of partial dentures:
Acrylic Resin: The most common material for the base of dentures. It is affordable, easy to adjust, and has a natural appearance.
Metal: Often used in the framework of partial dentures for added strength and stability.
Porcelain: Sometimes used for the teeth in dentures, though less common due to its tendency to wear down the natural teeth it comes into contact with.
Dental implants (or teeth implants) help overcome the above mentioned problems. They are undoubtedly the best and most popular solution for replacing missing teeth.
Fitting: The process of getting dentures involves multiple steps including an initial examination, impressions of the jaw, creating a model, and adjusting the fit. Proper fit is crucial to ensure comfort and functionality.
Maintenance: Dentures require daily cleaning to prevent plaque build-up and stains. They should be soaked in a denture cleanser overnight and brushed with a soft denture brush. Regular Dental check-ups are important to assess the fit and condition of the dentures and oral tissues.
Benefits:
Drawbacks:
Alternatives to Dentures:
In conclusion, dentures are a valuable solution for replacing missing teeth, providing significant benefits in terms of functionality and aesthetics. However, they require proper care and maintenance, and there are alternative options available depending on the individual's specific needs and circumstances.